Abstract
During pulmonary thromboembolism, although in most cases we detect the thrombus mass in the arterial network of the lungs, sometimes the masses remain halfway before reaching the arterial network, causing a life-threatening situation. The most common of these conditions are thrombus masses in the right chambers of the heart. However, it should always be kept in mind that there may be a thrombus mass in the left cavities.
Cover Letter

Xəstə təqdimatı
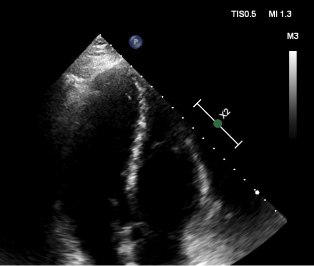
45 yaşlı kişi xəstə sağ ayaqda anidən yaranmış şişkinlik, kəskin ağrı, təngnəfəslik şikayəti ilə xəstəxanamızın təcili tibbi yardım şöbəsinə müraciət etmişdir. Xəstə 10 il əvvəl mielit keçirmiş və sağ aşağı ətrafın hissəvi parezi mövcuddur. Passiv həyat tərzi keçirdiyini, günün çox hissəsini evdə hərəkətsiz vəziyyətdə olduğunu qeyd edir. Xəstəyə dərhal exokardioqrafiya olundu və sağ boşluqların genişləndiyi, ağciyər arteriyasının sistolik təzyiqinin artmış (50mmHg) olduğu görüldü. Daha ətraflı müayinə zamanı sol və sağ qulaqcıq daxilində də hərəkətli kütlənin olduğu görüldü. Xəstəyə transezofageal exokardioqrafiya tövsiyə edildi, lakin xəstə bu müayinədən imtina etdi. Aşağı ətraf venalarının doppler müayinəsi zamanı sağ dizaltı venanın kəskin trombozu aşkarlandı. Sol və sağ qulaqcıq daxilindəki hərəkətli kütlənin tromb (Şəkil 1,2 və 3) ola biləcəyi düşünüldü və xəstə hospitalizasiya edildi. Xəstəyə gündəlik 30 mq (15 mq x 2 dəfə) rivaroksaban başlanıldı. Sağ aşağı ətraf üçün kompression corab təyin edildi. Müalicənin beşinci günü təkrari exokardioqrafiya olundu (Şəkil 4 və 5). Bu zaman görülən hərəkətli kütlələr görülmədi, sağ mədəciyin ölçüləri normallaşmış, ağciyər arteriyasının sistolik təzyiqi isə 35mmHg-na qədər enmişdir. 21 gün sonra rivaroksabanın dozası gündəlik 20 mq təyin edildi. Sağ aşağı ətrafda hissəsi parez olması səbəbindən rivaroksaban müalicəsi qeyri-müəyyən zamana qədər davam etdiriləcək.
Öyrədici məqamlar
- Pulmonar tromboemboliyanın diaqnozu bəzən KT angioqrafiya vasitəsilə qoyulsa da bu xəstələrdə exokardioqrafiya mütləq icra edilməlidir
- Pulmonar tromboemboliya zamanı tromb kütləsini adətən sağ boşluqlarda görsək də mütləq sol boşluqlar da diqqətlə müayinə olunmalıdır
- Yeni oral antikoaqulyantlar ürək boşluqlarındakı tromb kütlələrini əritmək üçün effektivdir
Figures

Keywords
References


Article Info:
Publication history
Published: 14.Oct.2023
Copyright
© 2013-2025. Azerbaijan Society of Cardiology. Published by "Uptodate in Medicine" health sciences publishing. All rights reserved.Related Articles
Viewed: 639