
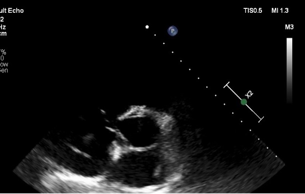
Pulmonar tromboemboliya nəticəsində açıq oval dəliyə pərçimlənmiş tromb kütləsi Dərc edilib: Cild 23, Nömrə 1, 2023 / Nəşr tarixi: 14.10.2023
Şəxanə Ələsgərli, Gulay Məmmədova
Qulaqcıqların fibrilyasiyasının idarə olunmasına dair Avropa Kardiologiya Cəmiyyəti tövsiyələrinin təkmilləşdirilmiş 2012-ci il varianti Dərc edilib: Cild 23, Nömrə 1, 2023 / Nəşr tarixi: 14.10.2023
R. Abdullayeva, L Həmzəyeva, M. İsayeva, S. Muradova, R. Abdullayev, İ. Abdullayeva
Anemik sindromlu xroniki ürək çatışmazlığının terapiyasının aktual problemləri Dərc edilib: Cild 1, Nömrə 1, 2012 / Nəşr tarixi: 10.04.2012
Faiq Quliyev, Kəmalə Zahidova
Xroniki ürək çatışmazlığı olan xəstələrdə karvedilolun qanın hemoreoloji, hemokoaqulyasiya və lipid metabolizmi göstəricilərinə təsiri Dərc edilib: Cild 1, Nömrə 1, 2012 / Nəşr tarixi: 10.04.2012
Ülviyə Zəkiyeva, Tofiq Cahangirov
Essential hipertoniyalı xəstələrdə ürək ritminin vegetativ idarə olunmasından asılı olaraq antihipertenziv terapiyanın xüsusiyyətləri Dərc edilib: Cild 1, Nömrə 1, 2012 / Nəşr tarixi: 10.04.2012
Sonaxanım Qəhrəmanova, Adil Bəxşəliyev
Davamlı Drenajsız üsulla aparılan perikardiosintezin etibarlıq və effektivliyinin dəyərləndirilməsi Dərc edilib: Cild 1, Nömrə 1, 2012 / Nəşr tarixi: 10.04.2012
Fərid Əliyev, Evin Bozçalı, Ali Can Hatemi, Firdovsi İbrahimov, Kamran Musayev
Arterial hipertoniyası olan kişilərdə Bisoprol, Nebivolol, Kavedilol ilə monoterapiyanın penil hemodinamika, hipofizar-qonad sistemi hormonarı və cinsi fəaliyyətə təsiri Dərc edilib: Cild 1, Nömrə 1, 2012 / Nəşr tarixi: 10.04.2012
İsah Mustafayev, G. Nurməmmədova

Yaş və cinsdən asılı olaraq metabolik sindromu yayılma xüsusiyətləri Rusiyada aparılan epidemioloji tədqiqatın göstəriciləri Dərc edilib: Cild 1, Nömrə 1, 2012 / Nəşr tarixi: 10.04.2012
Mehman Mamedov

QT-nin uzanması sindromunda dinamik repolyarizasiya dəyişmələri nümunələri Dərc edilib: Cild 1, Nömrə 1, 2012 / Nəşr tarixi: 10.04.2012
Fərid Əliyev, Cengizhan Türkoğlu

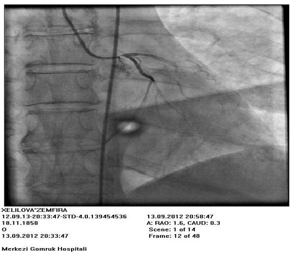
Kardiogen şokla ağırlaşan ST elevasiyasız miokard infarktı keçirən xəstənin sol ana koronar arteriyasının ostiumuna təcili perkutan müdaxilə Dərc edilib: Cild 1, Nömrə 1, 2012 / Nəşr tarixi: 10.04.2012
Ülvi Mirzəyev