Абстракт
Сопроводительное письмо

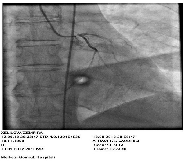
Фигуры

Ключевые слова
Ссылки
О статье:
История публикации
Опубликовано: 10.Apr.2012
Авторское право
© 2013-2025. Azərbaycan Kardiologiya Cəmiyyətinin rəsmi nəşri. Jurnal "Uptodate in Medicine" tibb nəşriyyatı tərəfindən dərc olunur. Bütün hüquqlar qorunur.Связанные статьи
Просмотрено: 498