
Arterial hipertoniyanın müalicəsində valsartan və perindoprilin effektivliyi Dərc edilib: Cild 7, Nömrə 1, 2015 / Nəşr tarixi: 20.07.2015
G.M. Dadaşova

2-ci tip şəkərli diabetli xəstələrdə cinsin kardiovaskulyar ölüm riskinə təsiri Dərc edilib: Cild 7, Nömrə 1, 2015 / Nəşr tarixi: 20.07.2015
Y.Z. Qurbanov, N.V. Zeynalova, V.A. Mirzəzadə

Miokardın revaskulyarizasiyası aparılmış koronar arteriya xəstəliyi olan xəstələrdə şəkərli diabetin rolu və onun sol mədəciyin atım fraksiyasına təsirinin öyrənilməsi Dərc edilib: Cild 7, Nömrə 1, 2015 / Nəşr tarixi: 20.07.2015
Firdovsi İbrahimov, İ. Ələkbərov, Ruslan Nəcəfov, Oqtay Musayev, Fərid Əliyev, Elnur İsayev
Naxçıvan Muxtar Respublikasında qan dövranı sistemi xəstəlikləri ilə bağlı ölümün ay və mövsüm dinamikası Dərc edilib: Cild 7, Nömrə 1, 2015 / Nəşr tarixi: 20.07.2015
V.Ə. Əzizov, E.M. Hətəmzadə

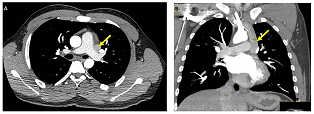
Torasik embriyonik venoz sistemin nadir bir anomaliyası: Sağ superior vena kavanın olmadığı persistan sol superior vena kava Dərc edilib: Cild 7, Nömrə 1, 2015 / Nəşr tarixi: 20.07.2015
S.Ə. Səmədli, V.P. Vəliyev, A. Asaliyeva, V.V. Həsənov

Koronar mikrovaskulyar disfunksiya Dərc edilib: Cild 8, Nömrə 2, 2015 / Nəşr tarixi: 30.12.2015
Tofiq Cahangirov, R Ələkbərov

Azərbaycan əhalisi arasında xəstələnmənin, ateroskleroz mənşəli ürək-damar xəstəliklərinin və onların risk amillərinin yayılmasının öyrənilməsi Dərc edilib: Cild 8, Nömrə 2, 2015 / Nəşr tarixi: 30.12.2015
Ruslan Nəcəfov
Ürəyin anadangəlmə qüsurları Dərc edilib: Cild 8, Nömrə 2, 2015 / Nəşr tarixi: 30.12.2015
K.Q. Qarayeva

2-ci tip şəkərli diabeti olan və olmayan xəstələrdə maqistral arteriyaların intima-media kompleksinin qalınlığının və interadventisial diametrinin ürəyin işemik xəstəliyinin təzahürləri ilə müqayisəli şəkildə öyrənilməsi Dərc edilib: Cild 8, Nömrə 2, 2015 / Nəşr tarixi: 30.12.2015
Y.Z. Qurbanov, M.R. Abbasova, M.S. Novruzova, R.Ə. Rzayeva

Ateroskleroz mənşəli ürəyin işemik xəstəliyinin kəskin formalarının klinik gediş xüsusiyyətlərinin öyrənilməsi Dərc edilib: Cild 8, Nömrə 2, 2015 / Nəşr tarixi: 30.12.2015
Ruslan Nəcəfov, S.H. Şahhüseynov, E.Z. Ələkbərov, Firdovsi İbrahimov